7.6 動揺歯固定法
Treatment for loose teeth by periodontal disease
Ⅰ.動揺歯治療の基本的な考え方
歯周病が原因の動揺歯を治療することは「歯周病の改善」と「咀嚼機能回復」のために必要です。そのためにFDCは「生物学」と「物理学」という異なった視点からアプローチします。二つの視点から得られた解析データを基に最適の技術を選択し、さらに、これらのインテグレートされた治療技術によって動揺歯の安定化をはかります。
Treatment of the loose teeth caused by periodontal disease is necessary for "improvement of periodontal disease" and " recovery of chewing function".For that purpose, FDC will approach from a different perspective of "biology" and "physics". Based on analysis data obtained from two perspectives. We select optimal technology based on analysis data obtained from two perspectives and stabilize loose teeth with these integrated therapeutic technologies.
1.生物学的な方法
The Biological method
いうまでもなく歯周病は混合感染症です。動揺歯が生じるのは多様な細菌が歯を支えている歯周組織に炎症や組織の破壊をもたらすからです。治療のためには、これらの原因となる「細菌情報」と細菌によって生じた「組織のダメージ情報」などを収集すると共に詳細に分析します。これを基にしてタイムリーに適切な治療を実施するためのアクションプランを作成します。
Needless to say, periodontal disease is a mixed infection. The fluctuating teeth arise because various bacteria cause inflammation and tissue destruction in the periodontal tissues supporting the teeth. For treatment, we gather "Bacterial information" which causes these and "tissue damage information" caused by bacteria etc and analyze them in detail. Based on this, we will create an action plan for timely and appropriate treatment.
1.1 細菌検査と制圧(溶菌・除去)
Bacterial test and suppression (bacteriolysis / removal) to the bacteria
まず原因である細菌の種類や生態を知るために「位相差顕微鏡検査」や「DNA検査」などの細菌検査を行います。 次に、これらの細菌情報から特性ごとに「ターゲット細菌」を選択し、動揺歯周囲の細菌を制圧(溶菌・除去)します。
First of all, we will conduct bacterial tests such as "phase contrast microscopy" and "DNA test" in order to know the type and ecology of bacteria which is the cause.
Next, select "target bacteria" for each characteristic from these bacterial information, and control (lbacteriolysis / removal) the bacteria around the loose teeth.
1.2 ダメージ組織の回復
Recovery of the damaged tissue
「病原菌除菌」と平行して「ダメージ組織の回復」を行います。ダメージ組織の回復とは細菌との闘いで生じた病巣部の組織から「有害な炎症性物質」を除去すると共に「組織細胞の活性化」を行います。ダメージ組織に直接治療できるのは「蒸散作 用」と「生物作用」をもつNd:YAGレーザーのような高出力、高性能のレーザーのみが可能です。
We will recover damaged tissue in parallel with bacterial suppression . Recovery of damaged tissues removes "harmful inflammatory substances" from the tissues of the lesion caused by battle with bacteria and "activates tissue cells". Only the high power, high performance lasers like Nd: YAG lasers with "transpiration" and "biological action" can be treated directly to the damaged tissue.
2.物理学的な視点
The Physical viewpoint
第二の考察は歯にかかる「咬合力」と「力の方向」が適正か、否かです。絶えず過重な咬合圧や歪な方向からの力がかかると歯周組織はダメージをうけますので歯がゆるんできます。
The second consideration is whether "bite force" and "direction of force" applied to teeth are appropriate or not. If excessive occlusal pressure or force from distorted direction is applied constantly, the periodontal tissue will be damaged and the teeth will come loose.
2.1 過重な咬合圧の分析
Analysis of excessive occlusal pressure
そこで、歯にかかる咬合圧や力の方向などについてセンサーを介して生体信号を測定いたします。また咀嚼筋の活動状態なども筋電計によって解析します。これらのデータから緩んでいる歯にかかっている過重な咬合圧や歪な力を客観的に知ることができます。
Therefore, we will measure biological signals via sensor, such as occlusal pressure on tooth and direction of force. We also analyze the activity status of the masticatory muscles by myoelectric potential meter. From these data, it is possible to objectively know excessive occlusal pressure and distortion force on loose teeth.
2.2 動揺歯に対する咬合圧の軽減法
Reduction of occlusal pressure against loose teeth.
計測データがあれば効果的な咬合圧の負担軽減法を客観的に選択することが可能になります。さらに、選択された治療法の術前、術後の負担軽減効果を評価することもできます。負担軽減法は咬合調整からスプリント(副木)を装着する方法まで色々あります。動揺歯の周囲の歯を含めてスプリント(副木)を装着する方法は最も効果的な負担軽減法です。この治療法は歯の動揺が停止するだけでなく歯周組織の破壊も改善します。7-6(Photo-1~Photo-3)
With measurement data, it becomes possible to objectively select effective occlusion pressure burden reduction method.In addition, it is possible to evaluate the effect of reducing the burden of preoperative and postoperative burden of the selected therapy. There are various ways to reduce burden from occlusal adjustment to a method of installing a splint. The method of attaching the splint including the teeth around the loose tooth is the most effective way of reducing the burden. This treatment not only stops tooth oscillation but also improves periodontal tissue destruction. 7-6(Photo-1~Photo-3)
以上、生物学方法と物理学的方法の2種類の治療技術を症状に応じて組み合わせれば治療成績は向上します。以下の症例をご覧下さい。これらを見れば、咬合圧の異常が動揺歯につながるのではなく、まず歯周病の感染後、歯周組織の悪化に伴い、咬合圧の影響が強く歯に反応していると考える方が合理的です。
Treatment results will improve if you combine two kinds of treatment techniques, biological method and physical method according to symptoms. Please look at the following cases. Looking at these, it is better to think that abnormal occlusal pressure does not lead to oscillating teeth, but firstly after periodontal disease infection, the effect of occlusal pressure strongly responds to the teeth as the periodontal tissue deteriorates It is reasonable.
1.歯の動揺は歯槽骨が静かに破壊されていくことから始まる
歯がグラグラしている原因はいろいろ考えられますが中高年以後の方であれば、大半は歯周病によるものです。歯周病による歯の動揺はある日、突然はじまるのではなく、実は歯を支えている歯周組織の下にある歯槽骨が少しずつ破壊されていくことによって始まります。初期の段階では噛むと力が入らない、あるいは今までシッカリと噛み切れた食べものが十分に噛みきれない、などの症状としてあらわれますが、これが歯を喪失する始まりだとは多くの患者さんは気づかないようです。
2.歯が指で動くようであれば赤信号
実際、FDCに転医された患者さんの大半は手遅れとなっています。これらのケースは今まで歯周病の治療をうけ定期検査をまじめに受診していた方や、早くから歯が動くことを訴えていた患者さんなどがあります。さらには大学病院で歯周病の手術までうけたケースも含まれています。
これらの症例を通じて考えられることは歯周病であれば軽度の歯の動揺は許容の範囲?と考えられているのではないかと思います。しかし、中高年の患者さんで歯の動揺がおさまらない場合は歯槽骨の破壊が確実に進んでいる、と考えるべきです。指で歯が簡単に動くようであれば相当な重症です。
3.なぜ、歯周病の動揺歯に負担軽減法(副木)が必要か
歯周病の歯周ポケット内には多様な細菌が存在しています。咀嚼時に歯が動揺しますと歯周組織に「圧力変化」が生じるとともに微細な隙間が生じます。この結果、歯周ポケットに存在していた細菌が、より深部まで侵入致します。この侵入細菌が増殖しますと炎症がひろがり病状が一段と悪化します。
歯の動揺をストップさせることで病状の進行をストップさせることができます。
私たちの咀嚼回数は3度の食事を中心に一日平均5,000回以上になり、ざっくり計算しただけでも年間に約183万回も噛んでいます。また、奥歯では一回に平均28kgf/cm2の咀嚼力が加わります。歯周病で動揺するとともに傾きかけた歯に何年にもわたって、咀嚼軸からはずれた過重な力が加わりますと次第に歯槽骨の破壊が進みます。
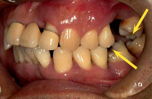
その結果、1本の歯が傾きますと両隣の歯だけでなく対合歯にも影響が波及し歯並びの乱れが目立つようになります(Photo-1)また前歯では反っ歯になり口を閉じて歯が見えるようになります(Photo-2)
前に述べたように動揺歯の周囲組織には常に過重な負担がかかっていますので咀嚼圧を副木によって分散、軽減させることで組織に安静をもたらすことが可能となります。FDCは歯が動いているというのは単に「物理的な変化」としてとらえるだけでなく、動揺歯を支えている「物言わぬ歯周組織からのSOS信号」だと受け止めています。
動揺歯をかばってほとんど噛まない状態では歯根周囲の圧力センサーに咀嚼力の低レベル信号が送られてくるため身体機能はその動揺歯は残根と同様の「組織に不要な異物」と判断致します。そうなりますと身体システムの異物の排出機転が働き動揺歯を保存するために必要な酸素や栄養が歯周組織へ十分に供給されなくなります。
このようにならないためには「副木」により安定させた動揺歯から咀嚼力信号を身体システムに伝えて「歯がまだ機能していることを認識させなければなりません」。身体システムは身体エネルギーを無駄なく効率的につかっていくため機能しなくなった歯は「組織に不要な異物」と判断をして切り捨てます。
注)この考え方はFDCの永年の動揺歯固定技術からの経験によるものです。
4.動揺歯の固定法について
既に述べてきましたように歯周病治療において歯の動揺を止めることは大変重要な処置です。しかし、現在の歯周病治療は環境要因の細菌対策にはプラークコントロールやPMTCが過度に重視され、これで改善しない場合は進行程度に応じて様々な手術が行なわれています。これらの方法には限界があり、これだけで歯周病の進行を止めることができるという考えには永年の臨床経験から疑問です。
また、これらの方法で一時的に動揺が治まる場合もみられますが歯の動揺に対する直接的な処置がなされていない以上、動揺によって深部への細菌侵入が容易となります。そのため中高年以後になれば病状の進行にともない動揺が一段と激しくなり腫れや痛みがなくとも咀嚼困難になるのは当然といえます。
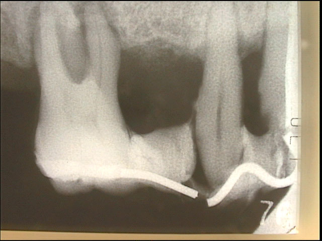
動揺歯を固定する方法は【仮固定と長期固定装置】があります。動揺歯を固定する方法はすでにBC6世紀に行なわれています(Photo-3) 21世紀の現代において、新しい技術でこれらの処置を適切な時期におこなうことによって動揺による歯周病の進行を改善し、歯の喪失を予防することは当然といえます。各々の方法については以下に詳しく述べます。
4-1.仮固定
仮固定は応急処置の副木
仮固定とは歯周病によって動揺している歯をしっかりした両側の隣在歯と連結することによって副木の機能をもたせ、動揺を止め歯周病が悪化するのを防止する処置です。また、仮固定は長期間の動揺歯固定が目的ではなく病原菌除菌や歯周病の治療を効果的に行なうための一時的な処置です。重症の場合は長期固定装置へ移行しなければなりません。
仮固定はタイムリーに実施しますと非常に有効な処置にもかかわらず、ここ十数年の間で重症になられてFDCに転医されている患者さんには、なぜかこの処置をおこなった形跡が見あたらないようです。以下に示します症例はCT読影の結果、歯槽骨の吸収が著しく、そのため強度の歯の動揺、さらに出血も相当ありました。
仮固定の効果
しかし、仮固定と共に歯周ポケットの「病原菌除菌」とレーザー治療などによる歯周組織の「ダメージ回復」を統合的に実施しますと短期間で病状が改善し咀嚼も普通にできるようになっています。(Photo.4-1, Photo.4-2)
また、(Photo-5.1)ならびに(Photo-5.2)の症例はいずれも末期の歯周病で歯の動揺も大きく、さらに排膿や腫れが見られ抜歯が必要でした。しかし、同様の処置を行ない仮固定の交換のみで初診時の症状は解消し、すでに7年間経過しています。抜歯に該当する歯であっても仮固定で支え、FDC治療システムと熱心なホームケアによって歯を残すことが可能です。
注)この末期の治療は自費治療です。
手遅れの仮固定はすぐに破損する
歯周病第3度になってからの【手遅れ仮固定】では頻繁に接合部が破折致します。(Photo-6,Photo-7)再三の仮固定は給付外ですので、その都度、自費負担となります。さらに仮固定の材料では強度不足ですので病状の進行を防止するためには本格的な長期にわたって動揺歯を固定する装置(咀嚼力分散装置)が必要になります。
6.手術より先にまず負担軽減処置
さて、動揺歯固定の理由は、おわかり戴けましたか?否、私はそうは思わない動揺歯に一々、副木などしなくてもホームケアさえ、しっかりしておけば歯の動揺も治まり、たまに腫れたりすれば化膿止めをもらえば十分、それでも病状が進むなら歯周病の手術によって一挙に病状が好転しますよ。という方もおられるでしょう。
しかし、歯周病に対して、そのように単純な取組み方では歯を喪失させます。FDCでは動揺歯を発見すれば正確な診断(CT撮影など)に基づいて、すみやかに動揺歯の負担軽減と病原菌除菌を実施しています。この術式(FDC式歯周病治療法)の採用によりにより手術にいたる症例は減少しています。
動揺歯に対する副木処置や病原菌除菌が適切になされていないと手術によって一時的な病状改善がみられても再び病状が悪化するため再手術に到る症例も少なからず見受けられます。
7.動揺歯の長期保存
7-1.残存歯槽骨の保存対策を忘れると病状は再発する
病原菌除菌と仮固定の結果、歯肉の化膿などの症状は消失します。これで治ったと思い咀嚼を続けていますと歯槽骨に過重な負担がかかるため骨の吸収(崩壊)が再開します。当然、歯の動揺に伴い歯周ポケット内に細菌が侵入し病状が再発します。つまり、中程度以後の歯周病はホームケアやメンテナンス処置だけでは不十分です。
7-2.強固な咬合力分散装置が必要
つまり中程度以上の歯周病では相当量の歯槽骨が失われているため一見、歯周病が改善したように見えましても歯肉によって歯が支えられています。そこで、このように進行した歯周病では長期的な視点から歯槽骨の増加手術に加えて「残存している歯槽骨にかかる咬合力の分散処置」を行なう必要があります。
7-3.連結装置を装着する前にしておくべき処置
動揺歯を冠で連続的につなぎブラッシングをしっかりすれば良いと誤解された処置が多々みられます。このような固定処置では一時的に歯の動揺がとまりますが依然として腫れや痛みが繰返され短期間で多数歯の抜歯を行なうケースが多いようです。咬合力分散装置は病原菌除菌が行なわれ腫れや痛みの症状の消失後でなければ、このような処置は無意味です。
7-4.咬合力分散装置の方法
方法は各動揺歯を取り巻く歯槽骨の状態をCT撮影により観察し固定に必要な歯数を決めます。次に、これらのデータから咬合力の分散構造を設計し、使用金属として長期間の金属疲労に耐える白金加金を選びます。
また、中高年では歯の咬み合わせの面(咬合面)が摩耗している場合が多いため歯の削除量を慎重に決めると共に、切削時にはレーザー照射によって切削面を知覚過敏から保護します。病状が進行している例では歯列の乱れによって歯の切削だけでなく、技工製作においても極めて精度の高い技術と技能が必要になります。
7-5.動揺歯固定装置による効果
- 安定して咀嚼することができます。
- 歯槽骨の吸収がとまります。
- 歯の動揺による歯周ポケットへの細菌侵入が防止できます。
7-6.動揺歯固定装置
以下に動揺歯固定装置の具体例を示します。
8.動揺歯の固定技術に対する認識不足
8-1.動揺歯の固定技術は歯の動揺を止めることが目的ではない
動揺歯の固定技術の重要性については既に述べています。しかし、一般的には動揺歯の固定技術とは「グラグラと動く歯を連結し、歯の動きをとめること」が目的である、と考えられているようです。しかし、FDCは動揺歯の固定技術を単に歯の動揺を止めるだけでなく「歯周病の進行を予防する技術」であると考えています。
注)ここでは理解しやすいように負担軽減療法(副木)を動揺歯の固定技術(仮固定を含む)と表現し、同じ意味で使用しています。
8-2.動揺歯の固定技術に対する誤解
一般的に動揺歯の固定技術に対する誤解は以下の3点です。これらの誤解の結果、動揺歯の固定技術など歯周病治療では治療効果が期待できず歯根面や歯肉に対する処置、あるいは歯周外科手術が主流となっています。ホームケアに過度の期待がされています。しかし、歯を支える歯槽骨の表面積が半分以下に減少すれば通常の咀嚼圧に耐えることが困難になり時間の経過と共に歯槽骨の破壊が進行することは自明と言えます。中程度、重症の歯周病治療には病原菌除菌による「感染症対策」と並行して歯槽骨が失われた歯に加わる「咀嚼圧対策」が必要です。
1.どのような動揺歯であっても連結すればなんとかなる。
上述の認識が間違っていることは多くの臨床例が示しています。歯周病の悪化による動揺歯を単純に歯を削って連結するだけでは一時しのぎに過ぎず早晩、歯を喪失します。動揺歯固定装置の処置を行なう事前処置として該当歯を仮固定致します。この期間中に仮固定の破損状況などから咀嚼力を分散するために各該当歯の隣接面や咬合面を何回かにわけて仮形成を行ないその都度、仮固定をします。固定装置の成功は、この処置段階によって決まります。
仮固定の段階で咀嚼力に対するシュミレーションが正確に行なわれ、この結果に基づいた動揺歯固定装置であれば装着後、安定して長く使用することが可能になります。動揺歯固定装置は負担能力の低下している歯槽骨を有効に利用し歯を残存させる装置ですから正確なシュミレーションを行なうためには永年の歯周病治療を通じて培われた「高度なテクニカル・ノウハウとスキル」が必要です。
ノウハウもなく単に歯を連結し病原菌除菌も行なわなければ「砂上の楼閣」にすぎません。このような装置は早ければ半年から数年で大きな動揺がみられ腫れや咀嚼困難が生じます。結局、連結歯すべて抜歯することが多いようです「Photo-1」
2.歯を連結すれば動揺がとまるので、あとはホームケアと定期検査で十分
中程度以上の歯周病で歯が動揺している場合、仮固定で歯の安定が得られても歯周病が治ったわけではありません。上に述べたように「砂上の楼閣」<です。中程度以上の歯周病に罹っている中高年の患者さんの場合、仮固定のままでホームケアと定期検査だけで十分な治療効果が維持(メインテナンス)されるとする考えは疑問です。 2―4.定期検査の実態
注)現実にはFDC受診者で中程度以上の歯周病に仮固定をしている症例はない
3.歯の動揺がとまれば固定など不要
この誤解は患者さん側に多く見られます。歯周病の場合では、まったくむし歯のない患者さんも多く、歯の動揺が止まりますと(一時的にもかかわらず・・・)、これ以上、歯を削ったり、歯に処置されることに強い抵抗を感じる方がおられます。このような患者さんはご自分の歯に自信を持たれているようですが歯の表面ならまだしも、見えない歯槽骨の状態まで歯の自信を拡大されますのは合理的な考えとはいえません。
以上、述べました誤解はいずれも固定技術の目的が正しく理解されていない、というより歯周病の病態(歯槽骨の病的変化)を正しく理解されていないことによるものです。
単に歯だけを連結しても動揺が再開し、歯周病の進行を阻止できないだけでなく、
P.g菌やF,n菌などが血中を介して全身の臓器に伝播し様々な病気を生みだします。
位相差顕微鏡の世界
【Refference】
1.Heckmann,J.G., C.J. Lung. et al. 2003. Multiple brain abcesses
caused by Fusobacterium nucleatum treated conservatively.
Can.J.Neurol. Sci. 30: 266-268.
-
Scientific treatment principle of FDC
-
Regular checkup -
The necessity of bacterial examination
-
About bacteria
-
Bacterial culture test
-
The world of phase contrast microscopy. -
Laser treatment&Treatment cases
-
Treatment for loose teeth by periodontal disease
-
Criteria for extracting teeth
-
Advanced integrated medical information system.
-
High standard prosthesis.(Electromyogram /Pronunciation analysis ) -
Safety management
-
Infection control technology.
-
Technical education of personnel.
-
Quality Control System.
-
Holistic Medicine.
-
Preventive training program.
-
Dental information for patients.
-
Patient's evaluation.
-
FDC's mental and physical health method.
-
For FDC patients only.
- Profile of the director
-
About Disclaimer.








